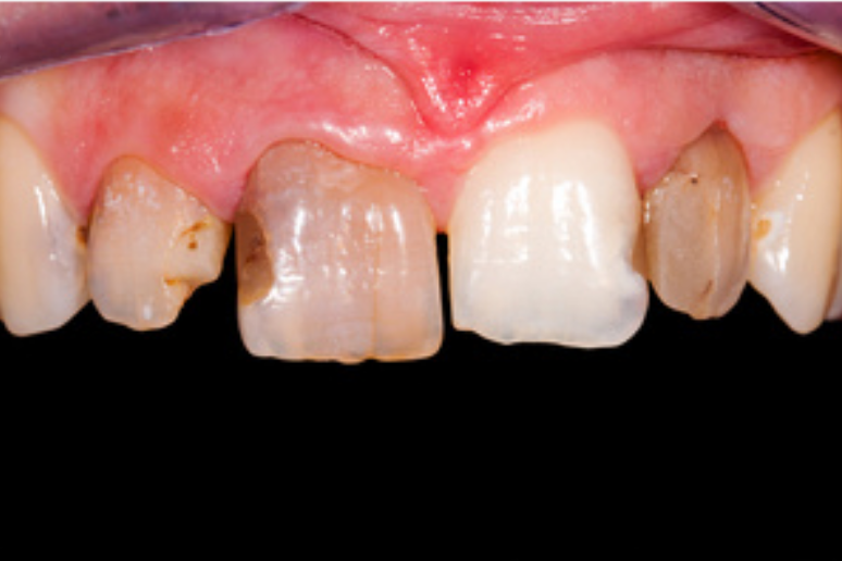
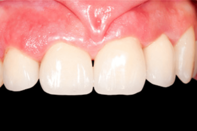
Carillas Cerámicas con un leve tallado del diente
  
  
 Al igual que las anteriores recubren la superficie externa del diente, sin embargo la diferencia principal radica en que están hechas de un material cerámico. Este hecho va a otorgar a las carillas de una mayor estética y especialmente una mayor durabilidad en el tiempo frente a las anteriores. Sin embargo hay que advertir que en este caso el tratamiento es irreversible ya que es necesario un tallado mínimo del diente. Al ser un tratamiento en el que interviene el laboratorio, dos sesiones mínimas serán necesarias, la primera la preparación con toma de impresiones y la segunda la de colocación.



