Radiodiagnóstico
 Nuestra clínica cuenta con la última tecnología digital en radiodiagnóstico, la radiovisiografía, obteniendo imágenes más precisas y disminuyendo al mínimo la dosis de radiación, pregunta por las diferentes tipos de radiografias que ofrecemos:
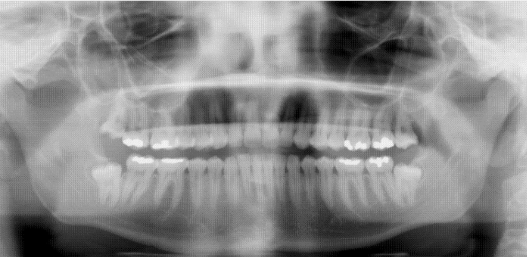
- Radiografía panorámica (Ortopantomografía)
 - Teleradiografía lateral de cráneo
 - Radiografía frontal
 - Radiografía de muñeca
 - Radiografía de ATM
 - Radiografía de senos paranasales
 
La radiografía panorámica u ortopantomografía representa una imagen general de los maxilares, la mandíbula y los dientes, por lo tanto es de primordial utilidad en el área orofacial.
Su papel de diagnostico odontológico, no sólo de los dientes sino también del maxilar y mandíbula, es fundamental. Sin la ortopantomografía el odontólogo perdería una gran ayuda en la mayoría de las especialidades de su campo. Es utilizada de forma sistemática en odontología, llegando a ser un arma diagnostica rutinaria. El valor diagnóstico de la ortopantomografía en cirugía bucal, implantología ortodoncia, patología oral y dental está claramente demostrado.
La Teleradiografía lateral de cráneo permite efectuar una valoración cefalométrica , de interés en ortodoncia y cirugía ortognática
Conforme a la ley en vigor, la clínica Triple A controla y garantiza la protección contra la radiación asegurando el control y mantenimiento de los equipos de rayos X.






